- 17. februar 2026
DKK 9.800,- ekskl. moms
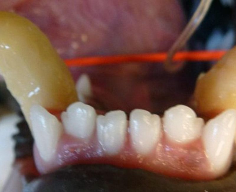
Kurset gennemgår instrumentarium – hvad er ”need to have”, og hvad er ”nice to have”- samt diverse teknikker for kirurgisk ekstraktion.





Vores kursusudbud er meget alsidigt; fra helt basale emner til mere specialiserede behandlinger. Fra fyraftenkurser, 1- og 2-dages kurser til længerevarende uddannelser.
Når du tilmelder dig et kursus på TandDyreklinikkens Education Center, tilstræber vi at give dig en oplevelse fra øverste hylde. Både på undervisning og forplejning.
Vi har små hold til kurserne (normalt maksimalt otte deltagere). Det giver en mere intim og fokuseret stemning, hvor spørgsmål og debat trives godt. Til de praktiske øvelser er der tid til, at underviseren når rundt til alle, og vi undgår meget ventetid ved røntgenapparater, ligesom alle deltagere selvfølgelig arbejder med deres egen unit.
Vores kurser bliver hele tiden opdateret med viden og instrumenter, der er high-end på verdensplan. Hertil kommer, at vi har stor erfaring med at formidle vores viden.
Så kom og nyd den gode stemning i vores education center, få ny viden fra den store verden, og træn dine ”skills”, mens vi får nogle hyggelige dage.
Vi glæder os til at se dig!
Klik her og tilmeld dig vores nyhedsbrev og vær en af de første til at få besked om nye kurser og uddannelser.
Tilmeld dig og vær sikker på, altid at være blandt de første til at høre om vores kurser og arrangementer.
“Jeg vil anbefale kurset til alle, der ønsker at styrke deres faglige kunnen inden for tandbehandlinger. Jeg har tidligere været på kurser, hvor jeg aldrig rigtig kom i gang med at bruge det, jeg havde lært. At LEVD-kurset afsluttes med eksamen kan måske virke skræmmende for nogen, men det er netop det, der gjorde at jeg kom i gang med at bruge det jeg lærte med det sammen. Nu venter jeg bare på at, de får sammensat LEVD 2.0 kurset ;-)
Jeg var allerede interesseret i faget og ledte efter en efteruddannelse, der ville gøre mig stand til at udføre mere avancerede procedurer. Samtidig måtte uddannelsen gerne være meget ”hands-on”. At uddannelsen afsluttede med case-log og eksamen vidste jeg ville være en stor fordel, for på den måde var jeg ”tvunget” til at bruge det jeg lærte i min dagligdag.
Jeg har nu en meget større faglig viden om tandbehandlinger og kan tilbyde mine patienter en bedre behandling på et fagligt højere niveau end, inden jeg tog uddannelsen. Derudover kan jeg nu udføre avancerede procedurer som tandregulering og rodbehandlinger af egne og henviste patienter
Det er tydeligt, at Jens brænder for sit fag, og det smitter af på hans elever. Det er dejligt at blive undervist af en, hvor man kan stole på, at det faglige niveau er højt – både teoretisk og praktisk.
Derudover er der en utrolig god stemning på Tanddyreklinikken, og jeg har glædet mig til hvert kursusforløb hos Jens og Lene.”
Jens er en meget levende underviser, der formår at holde alles opmærksomhed 100 %. Han og alle på klinikken er meget venlige og støttende, og man føler sig meget velkommen og i trygge hænder i processen med at lære nye og ret svære ting.
Jeg bruger dagligt uddannelsen, jeg laver flere specialbehandlinger på klinikkens egne patienter og får hver uge henvisninger fra kollegaer i området.
Jeg er blevet mere sikker i min vurdering og forståelse af tand/mundhulelidelser, jeg har øget antallet af patienter, hjulpet mine kollegaer til bedre forståelse af tandproblematikker, og ikke mindst har jeg fået flere spændende opgaver.”
“Det er en virkelig god uddannelse for de dyrlæger, der arbejder med tænder. Du kommer igennem alle aspekter af tænder. Din faglighed øges væsentligt, og det er en stor daglig tilfredsstillelse at kunne give de korrekte råd og vejledninger til kunderne samt tilbyde den faglige mest korrekte diagnosticering og behandling af patienten.
Det har gjort en stor forskel! Du er fagligt klædt virkelig fint på til at kunne give en god vejledning og problemløsning. Du har fået mange flere værktøjer at arbejde med. Der er en stor faglig tilfredsstillelse i at være sikker på at tilbyde den korrekte behandling samt også at kunne tilbyde mere avanceret behandling. I stedet for næsten kun at ekstrahere tænder er det tilfredsstillende at kunne tilbyde og udføre mere avancerede behandlingsteknikker. Det gør hverdagen klart sjovere og mere interessant.
Jens har en rigtig god formidlingsevne. Han er god til at forklare og fremlægge emnerne- og har ofte en god humor med i fremlæggelsen. Han virker til at have god tålmodighed til alle spørgsmål🙂 Han har en høj faglig standard, som han giver videre i undervisningen.
Det har været supergodt! Det bliver meget mere intensivt. Man kommer til at kende hinanden godt på holdet, kan sparre mere med hinanden, og der er god tid til at få hjælp under de praktiske øvelser.”
“Jeg giver Jens LEVDuddannelsen og Tanddyreklinikken de allerbedste anbefalinger. Det er en virkelig god og praktisk relevant uddannelse, som jeg vil anbefale til alle, der gerne vil i gang med avanceret tandarbejde i praksis. Det er et intensivt forløb, og der følger en del hjemmearbejde med, som dog alt sammen er med til at højne ens niveau ret hurtigt.
Jens er en meget levende underviser, der formår at holde alles opmærksomhed 100 %. Han og alle på klinikken er meget venlige og støttende, og man føler sig meget velkommen og i trygge hænder i processen med at lære nye og ret svære ting.
Jeg bruger dagligt uddannelsen, jeg laver flere specialbehandlinger på klinikkens egne patienter og får hver uge henvisninger fra kollegaer i området.
Jeg er blevet mere sikker i min vurdering og forståelse af tand/mundhulelidelser, jeg har øget antallet af patienter, hjulpet mine kollegaer til bedre forståelse af tandproblematikker, og ikke mindst har jeg fået flere spændende opgaver.”
"*" indikerer påkrævede felter
Sign up today – then you are sure to be among the first to hear about our courses and educations.